Wed - January 4, 2017
9:47 am
|
Visitas al artículo:4243
Las aplicaciones ThermiVa® utilizan energía de radiofrecuencia para calentar suavemente el tejido. El electrodo ThermiVa pendiente de patente está diseñado para aplicaciones que incluyen la anatomía vaginal. El producto no debe usarse en pacientes que están embarazadas, tienen una infección del tracto urinario o una infección de la piel en o alrededor del área de tratamiento. Los médicos tratantes deben realizar las pruebas necesarias para confirmar que la paciente es negativa para infección o embarazo. El paciente debe estar despierto y monitoreado durante el procedimiento para detectar cualquier síntoma inesperado. Los efectos secundarios esperados del procedimiento pueden incluir dolor en el área del procedimiento, eritema y edema.
MÁS
Wed - January 4, 2017
5:36 am
|
Visitas al artículo:10768
According to a new study from the University of Slotervaart in Amsterdam, there is a set of eating difficulties caused by gastric bypass surgery among adults. The common objective for people who undergo this kind of surgery is the quick and efficient loss of high amounts of weight. Other causes that could lead people to undergo this surgery are sleep apnea, type 2 diabetes, and other morbid conditions. There are two types of gastric bypass surgery. The first one is proximal and the second one is distal. In any way, the operation divides the stomach into two pouches, one small and one large.
MÁS
Tue - January 3, 2017
10:27 am
|
Visitas al artículo:3606
La cirugía laparoscópica de pantalla grande de ultra alta definición ahora se está implementando, la cual magnificará e iluminará las características anatómicas, características que pueden facilitar todas las cirugías avanzadas de acceso mínimo. Todo el equipo quirúrgico que se encuentra en el quirófano puede visualizar la operación en alta definición como si estuvieran viendo televisión de ultra alta definición en casa.
MÁS
Tue - January 3, 2017
5:03 am
|
Visitas al artículo:24749
Many gynecologists favor to perform supracervical hysterectomy instead of total hysterectomy when performed for benign conditions. Arguments used in favor of such recommendation are that it entails less operating time, less blood loss and faster patient’s postoperative recovery.
MÁS
Tue - January 3, 2017
4:45 am
|
Visitas al artículo:3456
El dilatador cervical Aqueduct-100 es un catéter de triple balón que permite una dilatación radial controlada del cuello uterino hasta un diámetro predeterminado. Aqueduct -100 combina los beneficios de laminaria y Hegar Rods (los métodos actuales) a través de un menor riesgo de perforación uterina, menor tasa de incompetencia cervical, eliminación de la necesidad de anestesia general y menor número de visitas de pacientes. El catéter, con sus globos desinflados, se inserta a través del cuello uterino hasta el útero.
MÁS
Tue - January 3, 2017
4:27 am
|
Visitas al artículo:5374
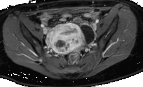
La adenomiosis es una condición benigna caracterizada por la presencia de glándulas endometriales y estroma que invaden el miometrio con presencia de hiperplasia e hipertrofia de las fibras musculares lisas. Ocurre principalmente en
mujeres entre la cuarta y quinta década de la vida, los factores de riesgo asociados son multiparidad, cirugía uterina previa y presencia de endometriosis; y al igual que este último, también es sensible a los estrógenos. MÁS
mujeres entre la cuarta y quinta década de la vida, los factores de riesgo asociados son multiparidad, cirugía uterina previa y presencia de endometriosis; y al igual que este último, también es sensible a los estrógenos. MÁS
Wed - December 28, 2016
9:16 am
|
Visitas al artículo:3241
El TroClose1200 ofrece a los cirujanos una doble funcionalidad; el dispositivo actúa como un trócar, a través del cual los instrumentos quirúrgicos ingresan al abdomen al inicio del procedimiento, y como un dispositivo para cerrar las incisiones internas realizadas durante la cirugía. Pero en lugar de insertar las suturas en un proceso que requiere mucho tiempo al final del procedimiento, el dispositivo utiliza un mecanismo de liberación de diseño único, con las suturas insertadas en el tejido al comienzo del procedimiento, permaneciendo en su lugar durante toda la operación y cerradas. casi automáticamente al retirar el dispositivo.
MÁS






