Manejo histeroscópico de la adenomiosis quística submucosa
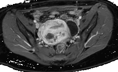
La adenomiosis es una condición benigna del útero caracterizada por la presencia de glándulas endometriales y estroma que invaden el miometrio con presencia de hiperplasia e hipertrofia de las fibras musculares lisas. Ocurre principalmente en mujeres entre la cuarta y la quinta década de la vida. La adenomiosis a menudo se asocia a factores de riesgo como multiparidad, cirugía uterina previa y presencia de endometriosis; y al igual que este último, también es sensible a los estrógenos. Si bien algunas mujeres diagnosticadas con adenomiosis no presentan síntomas, la enfermedad puede causar: 1. Sangrado menstrual abundante y prolongado 2. Cólicos menstruales severos 3. Presión abdominal e hinchazón La adenomiosis tiene dos formas de presentación que se describen como focales y difusas. La adenomiosis focal puede ocurrir como una lesión nodular bien circunscrita (adenomioma), similar a un fibroma intramural o restringida a una estructura de la pared uterina en forma de adenomiosis localizada. Por el contrario, la forma difusa es aquella en la que puede afectar a todo el útero sin límites demarcados entre el tejido invadido y el miometrio sano circundante. Hasta hace poco, la única forma definitiva de diagnosticar la adenomiosis era realizar una histerectomía y examinar el tejido uterino con un microscopio. Sin embargo, la tecnología de imágenes ha hecho posible que los médicos reconozcan la adenomiosis sin cirugía. Mediante resonancia magnética o ecografía transvaginal, los médicos pueden ver las características de la enfermedad en el útero. Con el uso de técnicas de imagen modernas mejoradas, es posible que un número creciente de casos en adolescentes y mujeres adultas jóvenes con dismenorrea, emerja un nuevo tipo de adenomiosis llamada "quística". En la actualidad, el diagnóstico se basa principalmente en la resonancia magnética, presentándose como una estructura quística con un diámetro interno ≥10 mm y contenido hemorrágico rodeada de tejido miometrial. En una revisión de la adenomiosis quística, Brosens et al (2015) describieron tres tipos (A, B y C) con sus respectivos subtipos, según la ubicación del quiste y la complejidad de la lesión. Si un médico sospecha de adenomiosis, el primer paso es un examen físico. Un examen pélvico puede revelar un útero agrandado y sensible. Una ecografía puede permitirle al médico ver el útero, su revestimiento y su pared muscular. Aunque la ecografía no puede diagnosticar definitivamente la adenomiosis, puede ayudar a descartar otras afecciones con síntomas similares.
Top






