Tue - January 3, 2017
4:27 am
|
Article Hits:3461
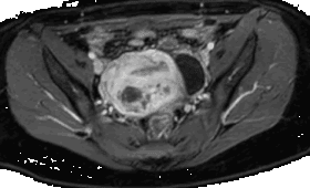
सब्म्यूकस सिस्टिक एडेनोमायोसिस का हाइस्टेरोस्कोपिक प्रबंधन, इस स्थिति का निदान और उपचार करने के लिए एक कम से कम आक्रामक दृष्टिकोण शामिल करता है। सब्म्यूकस सिस्टिक एडेनोमायोसिस गर्भाशय के अंत:धरणी लिंग में सिस्टों की मौजूदगी को संकेत करता है। हाइस्टेरोस्कोपी योनिकांग में डालकर इन सिस्टों को सीधे देखने और निकालने की सुविधा प्रदान करती है, जिससे लक्षणों में राहत और बांझपन की संभावनाएं सुधारती हैं। यह प्रक्रिया मुक्तियां या विनाश करते हुए विशेषज्ञ उपकरणों का उपयोग करके की जाती है। हाइस्टेरोस्कोपिक प्रबंधन के लाभों में कम समय में सुखाने, ऑपरेशन के बाद के संभावित जटिलताओं की कमी और गर्भाशय की संरक्षण की सुविधा शामिल हैं, जिससे यह सब्म्यूकस सिस्टिक एडेनोमायोसिस का उपचार करने के लिए एक प्रभावी और सुरक्षित विकल्प है।
अधिक पढ़ें
Wed - December 28, 2016
9:16 am
|
Article Hits:2522
ऑटो स्यूचरिंग लेपरोस्कोपिक ट्रोकर पोर्ट वाउंड एक तकनीकी उपकरण है जो लेपरोस्कोपी सर्जरी में प्रयुक्त होता है। इसका उद्देश्य पोर्ट वाउंड को स्वचालित रूप से बंधने का है, जिससे किसी भी आवश्यकता के बिना दोबारा स्यूचर लगाने की आवश्यकता नहीं होती है। यह तकनीक समय कम करती है और पेशेवर सर्जनों को प्रदान करती है, जो पेशेवरता और पेशेवरता के साथ ट्रोकर पोर्ट वाउंड का संचालन करना चाहते हैं। ऑटो स्यूचरिंग लेपरोस्कोपिक ट्रोकर पोर्ट वाउंड सर्जरी में उपयोगी हो सकता है और पेशेवर सर्जरी में सुधार कर सकता है।
अधिक पढ़ें
Fri - December 16, 2016
7:16 am
|
Article Hits:2844
विश्व स्वास्थ्य संगठन (WHO) के अनुसार, भारत में लगभग २० से ४०% वयस्क और १० से २०% बच्चे मोटापे से प्रभावित हैं और जहाँ तक बेरियाट्रिक सर्जरी का सवाल है, हर साल केवल १३००० के आस-पास प्रदर्शन किया जाता है। यह सिर्फ मेडिकल रिकॉर्ड से पता चलता है कि बेरिएट्रिक सर्जरी के मामलों में लगभग 20% की गिरावट वित्तीय समस्याओं के कारण होती है। इसका सीधा मतलब है कि ब्याज मुक्त दर पर बेरिएट्रिक सर्जरी के लिए ईएमआई विकल्प उन रोगियों के लिए एक बड़ी मदद होगी जो मोटापे से पीड़ित हैं और सामर्थ्य के बारे में समस्याएँ हैं।
अधिक पढ़ें
Wed - December 14, 2016
7:46 am
|
Article Hits:2271
फोर्टिमेडिक्स सर्जिकल, नथ, द नीदरलैंड और रैंचो सांता फ़े, कैलिफ़ोर्निया में कार्यालयों के साथ एक कंपनी ने अपने FMX314 लेप्रोस्कोपिक सर्जिकल सिस्टम को बाजार में लाने के लिए एफडीए क्लीयरेंस जीता। यह उपकरण सर्जनों को एक ही बार में उदर में दो उपकरणों का उपयोग करने का अवसर प्रदान करता है।
अधिक पढ़ें
Sun - December 11, 2016
7:48 am
|
Article Hits:2569
वीडियो गेम्स सर्जनों के लिए लाभदायक साबित हो रहे हैं। हाल के अध्ययनों ने दिखाया है कि ऐसे सर्जन जो नियमित रूप से वीडियो गेम्स खेलते हैं, उनकी कौशलता और प्रदर्शन में सुधार होती है। हाथ-नेत्र संघटन, निर्णय लेने की क्षमता और स्थानिक जागरूकता में सुधार आता है, जो सीधे ऑपरेटिंग रूम में अंतर्निहित होता है। वीडियो गेम्स खेलने वाले सर्जनों में हाथों की कुशलता, सूक्ष्म मोटर कौशलता और संपूर्ण शल्य दक्षता में वृद्धि देखी गई है। इसके अलावा, आभासी वास्तविकता गेम्स और सिम्युलेटर्स जटिल प्रक्रियाओं का अभ्यास करने के लिए वास्तविकता जैसे माहौल प्रदान करते हैं, जिससे कौशल विकास के लिए सुरक्षित और नियंत्रित माहौल मिलता है। शल्य चिकित्सा प्रशिक्षण में वीडियो गेम्स को सम्मिलित करने से शल्य उपचार के परिणाम और रोगी सुरक्षा में महत्वपूर्ण सुधार होने की बड़ी संभावना है।
अधिक पढ़ें
Sat - December 10, 2016
8:54 am
|
Article Hits:1999
हाल ही में एक अध्ययन ने कम आपत्तिजनक प्रोस्टेट कैंसर सर्जरी में मोटापे के कारण उत्पन्न सम्भावित जटिलता की बढ़ती हुई जोखिम को उजागर किया है। शोध ने दिखाया है कि मोटापा संक्रमण, रक्तांतरण और सर्जरी के बाद अस्पताल में लंबी रहने जैसे संभावित जटिलताओं के खतरे को मजबूती से बढ़ाता है। यह अध्ययन सुझाव देता है कि मोटे रोगी में अतिरिक्त वजन और संबंधित स्वास्थ्य स्थितियाँ सर्जरी की प्रक्रिया को अधिक चुनौतीपूर्ण बना सकती हैं और सर्जरी के बाद होने वाली जटिलताओं की संभावना को बढ़ा सकती हैं। ये फिन्दिंग्स इस बात की महत्त्वपूर्णता पर दिलाती हैं कि मोटापा को एक महत्वपूर्ण जोखिम कारक के रूप में ध्यान में लेने और उचित प्री और पोस्ट-ऑपरेटिव रणनीतियों के विकास में शामिल किया जाना चाहिए।
अधिक पढ़ें
Sat - November 19, 2016
11:53 pm
|
Article Hits:2306
मैग्नेटिक असिस्टेड लेपरोस्कोपिक सर्जरी (MALS) गॉलब्लैडर सर्जरी में कई छोटी छेदों की आवश्यकता को कम करने की संभावना प्रदान करने वाली एक नवाचारी तकनीक है। मैग्नेट्स का उपयोग करके MALS शल्यचिकित्सा के पारंपरिक लेपरोस्कोपिक तरीकों की तुलना में कम छेदों के साथ प्रक्रिया को संभव बनाता है। इस तकनीक में, मैग्नेटिक साधनों को छोटे छेदों के माध्यम से डाला जाता है, जबकि रोगी के पेट पर एक बाहरी मैग्नेट उनके गतिविधि का मार्गदर्शन करता है। मैग्नेट की आकर्षण शल्यचिकित्सा क्षेत्र में सटीक नियंत्रण और मनोविज्ञान की अनुमति देता है, जिससे अतिरिक्त छेदों की आवश्यकता कम होती है। MALS गॉलब्लैडर सर्जरी के लिए कम खारिश, पोस्ट-ऑपरेटिव दर्द में कमी और छोटे समय में सुधार के संभावित लाभों की संभावना प्रदान करता है, जो इसे एक आशावादी विकल्प बनाता है।
अधिक पढ़ें






