सबम्यूकस सिस्टिक एडिनोमायोसिस का हिस्टेरोस्कोपिक प्रबंधन
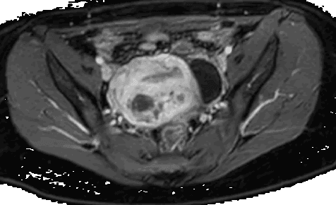
सबम्यूकस सिस्टिक एडिनोमायोसिस, महिलाओं में एक आम गर्भाशय सम्बन्धी रोग है जिसमें गर्भाशय के भीतर एडिनोमायोसिस नामक अव्यवस्था होती है। इस रोग के कारण महिलाओं को अनियमित मासिक धर्म, गर्भाशय के क्षेत्र में दर्द और प्रभावित स्तन की समस्याएं हो सकती हैं। हालांकि, अधिकांश मामलों में यह समस्या बेहद सामान्य और गंभीर नहीं होती है।
सबम्यूकस सिस्टिक एडिनोमायोसिस के प्रबंधन के लिए, हिस्टेरोस्कोपिक प्रक्रिया एक महत्वपूर्ण विकल्प है। हिस्टेरोस्कोपी एक चिकित्सा प्रक्रिया है जिसमें एक विशेष यंत्र का उपयोग करके गर्भाशय को देखा जाता है। इस प्रक्रिया में, एक छोटी सी ट्यूब को गर्भाशय के माध्यम से डाला जाता है, जिसमें एक कैमरा लगा होता है। यह कैमरा दर्शक को तस्वीरें दिखाता है और चिकित्सक को सबम्यूकस सिस्टिक एडिनोमायोसिस के लिए सही इलाज की योजना बनाने में मदद करता है।
हिस्टेरोस्कोपिक प्रक्रिया में, चिकितस्त एक स्थानीय एनेस्थीजिया का इस्तेमाल करके महिला को सुखी रखा जाता है ताकि उन्हें दर्द या असुविधा न हो। चिकित्सक गर्भाशय की समस्या को आंशिक या पूर्णतः हटाने के लिए कई तकनीकों का उपयोग कर सकते हैं। ये तकनीकें शामिल हो सकती हैं:
एक्सीज़ीजन या सुप्रेसेलर एक्सक्शन (आंशिक या पूर्णतः एडिनोमायोसिस को हटाने के लिए काटने और इसे निकालने की तकनीक)
गर्भाशय बचाने या संक्षेपण (गर्भाशय का हिस्टेरोस्कोपिक संक्षेपण)
एडिनोमेक्टोमी (एडिनोमा ट्यूमर्स के निकालने की तकनीक)
लेजर या तार कोगलेशन (एडिनोमा ट्यूमर्स को जलाने या घाव बनाने की तकनीक)
यहां तक कि कुछ मामलों में एडिनोमायोसिस के साथ-साथ गर्भाशय विच्छेद और आंतरदाह का उपयोग भी किया जा सकता है। चिकित्सक, मर्यादित रोगी का चयन करके और उनके रोग के स्तर के आधार पर सही प्रक्रिया का निर्धारण करेंगे।
हिस्टेरोस्कोपिक प्रबंधन के बाद, रोगी का संकेतमान कार्यक्रम और उपचार जारी रहेंगे। यह शामिल हो सकता है:
दवाओं का उपयोग: चिकित्सक आपको एंटीइंफ्लेमेट्री दवाएं या हार्मोनल औषधियों की सलाह दे सकते हैं। ये दवाएं एडिनोमायोसिस के लक्षणों को कम करने और सामान्य मासिक धर्म को सुधारने में मदद कर सकती हैं।
हिस्टेरोस्कोपिक एक्सचेंज: इस तकनीक में, गर्भाशय के अंदर से अव्यवस्थित टिश्यू को निकाला जाता है। इस प्रक्रिया के माध्यम से, एडिनोमायोसिस के कारण होने वाले अस्थिरता और दर्द को कम किया जा सकता है।
गर्भाशय की चिकित्सा: कुछ मामलों में, चिकित्सक गर्भाशय के संक्षेपण, अंडाशय का निकालना या अंडाशय की आंतरिक परत को हटाने की विभिन्न प्रक्रियाएं सलाह दे सकते हैं। यह विकल्प उन महिलाओं के लिए विचारनीय होता है जिनका परिवार पूरा हो चुका हो या जो गर्भाधान के लिए इच्छुक नहीं हैं।
पुनर्जनन चिकित्सा: कुछ मामलों में, चिकित्सक पुनर्जनन चिकित्सा की सलाह दे सकते हैं। यह चिकित्सा प्रक्रिया एडिनोमायोसिस के साथ संबंधित समस्याओं को सुलझाने और स्तनपान की क्षमता को बनाए रखने में मदद कर सकती है।
नियमित मासिक धर्म की निगरानी: सबम्यूकस सिस्टिक एडिनोमायोसिस के मामलों में नियमित मासिक धर्म का संगठन महत्वपूर्ण होता है। चिकित्सक आपको उचित रूप से नियंत्रित मासिक धर्म के लिए औषधियों या अन्य उपायों की सलाह दे सकते हैं।
जीवनशैली परिवर्तन: आहार, व्यायाम, और तनाव प्रबंधन की अच्छी जीवनशैली रखना भी सबम्यूकस सिस्टिक एडिनोमायोसिस के प्रबंधन में मददगार हो सकता है। योग, मेडिटेशन और शारीरिक गतिविधियां भी शामिल हो सकती हैं जो शरीर को स्वस्थ और सुगठित रखने में मदद करती हैं।
आपके चिकित्सा द्वारा निर्धारित किए जाने वाले उपचार योजना के साथ, आपको नियमित चिकित्सा निरीक्षण के लिए आपके चिकित्सक के पास जाना चाहिए। यह आपकी स्थिति की प्रगति को निगरानी करेगा और आपको सही दिशा में ले जाने के लिए सहायता करेगा। सबम्यूकस सिस्टिक एडिनोमायोसिस के प्रबंधन के लिए चिकित्सक के साथ नियमित चिकित्सा दौरों पर जाना महत्वपूर्ण होगा ताकि आपकी स्थिति का मूल्यांकन किया जा सके और उपचार में आवश्यकतानुसार परिवर्तन किए जा सकें।
ध्यान देने योग्य बात है कि ऊपर उल्लिखित उपचार विकल्पों का चयन और व्यक्तिगत उपचार योजना आपके व्यक्तिगत मामले और रोग की गंभीरता पर निर्भर करेगा। इसलिए, सर्वप्रथम, अपने चिकित्सक की सलाह और निर्देशों का पालन करना अत्यंत महत्वपूर्ण है। उनके साथ सहयोगपूर्ण संवाद बनाए रखना और नियमित चिकित्सा दौरों का पालन करना आपके स्वास्थ्य और प्रगति के लिए लाभकारी होगा।
अंततः, सबम्यूकस सिस्टिक एडिनोमायोसिस के हिस्टेरोस्कोपिक प्रबंधन का मुख्य उद्देश्य आपकी स्वास्थ्य स्थिति को सुधारना और आपको दर्द से राहत प्रदान करना है। चिकित्सा देखभाल, दवाओं का उपयोग, और व्यायाम के माध्यम से आपकी सामान्य स्वास्थ्य और कल्याण को सुनिश्चित रखना अत्यंत महत्वपूर्ण है। कुछ अतिरिक्त सावधानियां और चिकित्सा संदेश जिन्हें आपको ध्यान में रखना चाहिए, शामिल हो सकती हैं:
नियमित चिकित्सा जांच: चिकित्सक द्वारा निर्धारित चिकित्सा दौरों पर नियमित रूप से जाना चाहिए। यह आपकी प्रगति को मापने और उपचार को आवश्यकतानुसार बदलने का मौका देता है।
स्वस्थ आहार: अपने आहार में पोषक तत्वों को शामिल करना और अस्वास्थ्यकर खाद्य पदार्थों से बचना महत्वपूर्ण है। आपको अपने चिकित्सक से सलाह लेकर आहार योजना तैयार करनी चाहिए जो आपके स्वास्थ्य को सुधारने में मदद करेगी।
सामग्री संकीर्णता: यदि चिकित्सक ने गर्भाशय के संक्षेपण का सुझाव दिया है, तो आपको सेक्स से बचना चाहिए ताकि संक्रमण का खतरा कम हो जाए।
रेकवरी समय का पालन: हिस्टेरोस्कोपिक प्रबंधन के बाद, आपको अपने चिकित्सक द्वारा सिफारिशित रेकवरी समय का पूरा पालन करना चाहिए। इसमें स्थानीय एनेस्थेजिया के प्रभाव में सुधार, योनि संरचना के प्रतिबंध को ध्यान में रखना और उचित आहार लेना शामिल हो सकता है। चिकित्सक आपको सम्पूर्ण जानकारी और निर्देश प्रदान करेंगे ताकि आप अपनी रिकवरी के दौरान सही ध्यान रख सकें।
सहायता और समर्थन: आपके परिवार और प्रियजनों का सहायता और समर्थन आपके इलाज के दौरान महत्वपूर्ण है। उनका आपके प्रति सहयोग और समझदारी आपकी मानसिक और भावनात्मक स्थिति को सुधारने में मदद करेगा। यदि आपको चिकित्सा सलाह, अभियान्त्रिकी या अन्य साहाय्यक सेवाओं की आवश्यकता होती है, तो उन्हें ढंग से सम्पर्क करने में आपके परिवार की मदद करें।
समायोजन और समाधान: सबम्यूकस सिस्टिक एडिनोमायोसिस के साथ जीने का अनुभव शारीरिक और मानसिक रूप से चुनौतीपूर्ण हो सकता है। इसलिए, समाधान और समायोजन की खोज करना महत्वपूर्ण हो सकता है। यह आपको अपनी स्थिति को संभालने और इसका मुकाबला करने के लिए मदद करेगा। योग, मेडिटेशन और दिमागी स्वास्थ्य तकनीकें भी अत्यंत उपयोगी हो सकती हैं। इसके अलावा, सबम्यूकस सिस्टिक एडिनोमायोसिस के साथ जीवन में सुधार करने के लिए शिक्षात्मक संसाधनों का भी सहारा ले सकते हैं।
अंत में, सबम्यूकस सिस्टिक एडिनोमायोसिस के हिस्टेरोस्कोपिक प्रबंधन का मुख्य उद्देश्य आपके स्वास्थ्य को सुधारना, दर्द से राहत प्रदान करना और स्तनपान की क्षमता को बनाए रखना है। इसमें नियमित चिकित्सा देखभाल, दवाओं का उपयोग, स्वस्थ आहार, योग और व्यायाम, जीवनशैली परिवर्तन और सहायता का लेन-देन शामिल होता है। आपके चिकित्सक द्वारा सलाह दी गई चिकित्सा योजना के अनुसार चलें और अपने परिवार और प्रियजनों के समर्थन का लाभ उठाएं। स्वस्थ जीवनशैली को अपनाएं और अपनी स्वास्थ्य सुधारें।
Top
सबम्यूकस सिस्टिक एडिनोमायोसिस के प्रबंधन के लिए, हिस्टेरोस्कोपिक प्रक्रिया एक महत्वपूर्ण विकल्प है। हिस्टेरोस्कोपी एक चिकित्सा प्रक्रिया है जिसमें एक विशेष यंत्र का उपयोग करके गर्भाशय को देखा जाता है। इस प्रक्रिया में, एक छोटी सी ट्यूब को गर्भाशय के माध्यम से डाला जाता है, जिसमें एक कैमरा लगा होता है। यह कैमरा दर्शक को तस्वीरें दिखाता है और चिकित्सक को सबम्यूकस सिस्टिक एडिनोमायोसिस के लिए सही इलाज की योजना बनाने में मदद करता है।
हिस्टेरोस्कोपिक प्रक्रिया में, चिकितस्त एक स्थानीय एनेस्थीजिया का इस्तेमाल करके महिला को सुखी रखा जाता है ताकि उन्हें दर्द या असुविधा न हो। चिकित्सक गर्भाशय की समस्या को आंशिक या पूर्णतः हटाने के लिए कई तकनीकों का उपयोग कर सकते हैं। ये तकनीकें शामिल हो सकती हैं:
एक्सीज़ीजन या सुप्रेसेलर एक्सक्शन (आंशिक या पूर्णतः एडिनोमायोसिस को हटाने के लिए काटने और इसे निकालने की तकनीक)
गर्भाशय बचाने या संक्षेपण (गर्भाशय का हिस्टेरोस्कोपिक संक्षेपण)
एडिनोमेक्टोमी (एडिनोमा ट्यूमर्स के निकालने की तकनीक)
लेजर या तार कोगलेशन (एडिनोमा ट्यूमर्स को जलाने या घाव बनाने की तकनीक)
यहां तक कि कुछ मामलों में एडिनोमायोसिस के साथ-साथ गर्भाशय विच्छेद और आंतरदाह का उपयोग भी किया जा सकता है। चिकित्सक, मर्यादित रोगी का चयन करके और उनके रोग के स्तर के आधार पर सही प्रक्रिया का निर्धारण करेंगे।
हिस्टेरोस्कोपिक प्रबंधन के बाद, रोगी का संकेतमान कार्यक्रम और उपचार जारी रहेंगे। यह शामिल हो सकता है:
दवाओं का उपयोग: चिकित्सक आपको एंटीइंफ्लेमेट्री दवाएं या हार्मोनल औषधियों की सलाह दे सकते हैं। ये दवाएं एडिनोमायोसिस के लक्षणों को कम करने और सामान्य मासिक धर्म को सुधारने में मदद कर सकती हैं।
हिस्टेरोस्कोपिक एक्सचेंज: इस तकनीक में, गर्भाशय के अंदर से अव्यवस्थित टिश्यू को निकाला जाता है। इस प्रक्रिया के माध्यम से, एडिनोमायोसिस के कारण होने वाले अस्थिरता और दर्द को कम किया जा सकता है।
गर्भाशय की चिकित्सा: कुछ मामलों में, चिकित्सक गर्भाशय के संक्षेपण, अंडाशय का निकालना या अंडाशय की आंतरिक परत को हटाने की विभिन्न प्रक्रियाएं सलाह दे सकते हैं। यह विकल्प उन महिलाओं के लिए विचारनीय होता है जिनका परिवार पूरा हो चुका हो या जो गर्भाधान के लिए इच्छुक नहीं हैं।
पुनर्जनन चिकित्सा: कुछ मामलों में, चिकित्सक पुनर्जनन चिकित्सा की सलाह दे सकते हैं। यह चिकित्सा प्रक्रिया एडिनोमायोसिस के साथ संबंधित समस्याओं को सुलझाने और स्तनपान की क्षमता को बनाए रखने में मदद कर सकती है।
नियमित मासिक धर्म की निगरानी: सबम्यूकस सिस्टिक एडिनोमायोसिस के मामलों में नियमित मासिक धर्म का संगठन महत्वपूर्ण होता है। चिकित्सक आपको उचित रूप से नियंत्रित मासिक धर्म के लिए औषधियों या अन्य उपायों की सलाह दे सकते हैं।
जीवनशैली परिवर्तन: आहार, व्यायाम, और तनाव प्रबंधन की अच्छी जीवनशैली रखना भी सबम्यूकस सिस्टिक एडिनोमायोसिस के प्रबंधन में मददगार हो सकता है। योग, मेडिटेशन और शारीरिक गतिविधियां भी शामिल हो सकती हैं जो शरीर को स्वस्थ और सुगठित रखने में मदद करती हैं।
आपके चिकित्सा द्वारा निर्धारित किए जाने वाले उपचार योजना के साथ, आपको नियमित चिकित्सा निरीक्षण के लिए आपके चिकित्सक के पास जाना चाहिए। यह आपकी स्थिति की प्रगति को निगरानी करेगा और आपको सही दिशा में ले जाने के लिए सहायता करेगा। सबम्यूकस सिस्टिक एडिनोमायोसिस के प्रबंधन के लिए चिकित्सक के साथ नियमित चिकित्सा दौरों पर जाना महत्वपूर्ण होगा ताकि आपकी स्थिति का मूल्यांकन किया जा सके और उपचार में आवश्यकतानुसार परिवर्तन किए जा सकें।
ध्यान देने योग्य बात है कि ऊपर उल्लिखित उपचार विकल्पों का चयन और व्यक्तिगत उपचार योजना आपके व्यक्तिगत मामले और रोग की गंभीरता पर निर्भर करेगा। इसलिए, सर्वप्रथम, अपने चिकित्सक की सलाह और निर्देशों का पालन करना अत्यंत महत्वपूर्ण है। उनके साथ सहयोगपूर्ण संवाद बनाए रखना और नियमित चिकित्सा दौरों का पालन करना आपके स्वास्थ्य और प्रगति के लिए लाभकारी होगा।
अंततः, सबम्यूकस सिस्टिक एडिनोमायोसिस के हिस्टेरोस्कोपिक प्रबंधन का मुख्य उद्देश्य आपकी स्वास्थ्य स्थिति को सुधारना और आपको दर्द से राहत प्रदान करना है। चिकित्सा देखभाल, दवाओं का उपयोग, और व्यायाम के माध्यम से आपकी सामान्य स्वास्थ्य और कल्याण को सुनिश्चित रखना अत्यंत महत्वपूर्ण है। कुछ अतिरिक्त सावधानियां और चिकित्सा संदेश जिन्हें आपको ध्यान में रखना चाहिए, शामिल हो सकती हैं:
नियमित चिकित्सा जांच: चिकित्सक द्वारा निर्धारित चिकित्सा दौरों पर नियमित रूप से जाना चाहिए। यह आपकी प्रगति को मापने और उपचार को आवश्यकतानुसार बदलने का मौका देता है।
स्वस्थ आहार: अपने आहार में पोषक तत्वों को शामिल करना और अस्वास्थ्यकर खाद्य पदार्थों से बचना महत्वपूर्ण है। आपको अपने चिकित्सक से सलाह लेकर आहार योजना तैयार करनी चाहिए जो आपके स्वास्थ्य को सुधारने में मदद करेगी।
सामग्री संकीर्णता: यदि चिकित्सक ने गर्भाशय के संक्षेपण का सुझाव दिया है, तो आपको सेक्स से बचना चाहिए ताकि संक्रमण का खतरा कम हो जाए।
रेकवरी समय का पालन: हिस्टेरोस्कोपिक प्रबंधन के बाद, आपको अपने चिकित्सक द्वारा सिफारिशित रेकवरी समय का पूरा पालन करना चाहिए। इसमें स्थानीय एनेस्थेजिया के प्रभाव में सुधार, योनि संरचना के प्रतिबंध को ध्यान में रखना और उचित आहार लेना शामिल हो सकता है। चिकित्सक आपको सम्पूर्ण जानकारी और निर्देश प्रदान करेंगे ताकि आप अपनी रिकवरी के दौरान सही ध्यान रख सकें।
सहायता और समर्थन: आपके परिवार और प्रियजनों का सहायता और समर्थन आपके इलाज के दौरान महत्वपूर्ण है। उनका आपके प्रति सहयोग और समझदारी आपकी मानसिक और भावनात्मक स्थिति को सुधारने में मदद करेगा। यदि आपको चिकित्सा सलाह, अभियान्त्रिकी या अन्य साहाय्यक सेवाओं की आवश्यकता होती है, तो उन्हें ढंग से सम्पर्क करने में आपके परिवार की मदद करें।
समायोजन और समाधान: सबम्यूकस सिस्टिक एडिनोमायोसिस के साथ जीने का अनुभव शारीरिक और मानसिक रूप से चुनौतीपूर्ण हो सकता है। इसलिए, समाधान और समायोजन की खोज करना महत्वपूर्ण हो सकता है। यह आपको अपनी स्थिति को संभालने और इसका मुकाबला करने के लिए मदद करेगा। योग, मेडिटेशन और दिमागी स्वास्थ्य तकनीकें भी अत्यंत उपयोगी हो सकती हैं। इसके अलावा, सबम्यूकस सिस्टिक एडिनोमायोसिस के साथ जीवन में सुधार करने के लिए शिक्षात्मक संसाधनों का भी सहारा ले सकते हैं।
अंत में, सबम्यूकस सिस्टिक एडिनोमायोसिस के हिस्टेरोस्कोपिक प्रबंधन का मुख्य उद्देश्य आपके स्वास्थ्य को सुधारना, दर्द से राहत प्रदान करना और स्तनपान की क्षमता को बनाए रखना है। इसमें नियमित चिकित्सा देखभाल, दवाओं का उपयोग, स्वस्थ आहार, योग और व्यायाम, जीवनशैली परिवर्तन और सहायता का लेन-देन शामिल होता है। आपके चिकित्सक द्वारा सलाह दी गई चिकित्सा योजना के अनुसार चलें और अपने परिवार और प्रियजनों के समर्थन का लाभ उठाएं। स्वस्थ जीवनशैली को अपनाएं और अपनी स्वास्थ्य सुधारें।






